
나에게 맞는 교정, 제대로 찾기
인비절라인, 설측교정, 클리피씨, 전문 교정의가 1:1로 상담합니다.
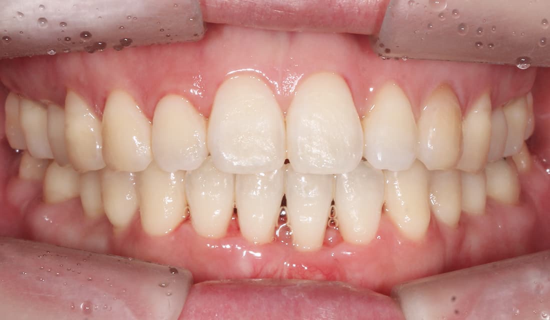
가지런한 치아, 달라지는 인상
인비절라인, 설측교정, 클리피씨 등 다양한 교정 방법 중 나에게 딱 맞는 교정을 전문 교정의가 1:1로 상담합니다. 정밀 디지털 분석으로 교정 전후 결과를 미리 확인할 수 있습니다.
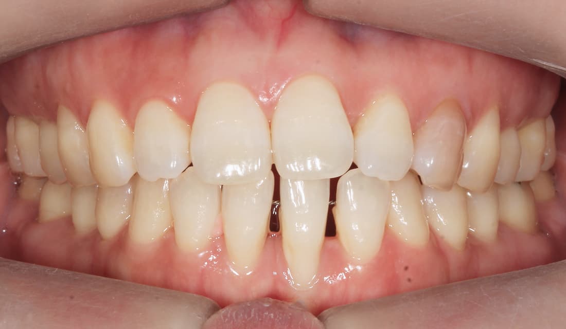
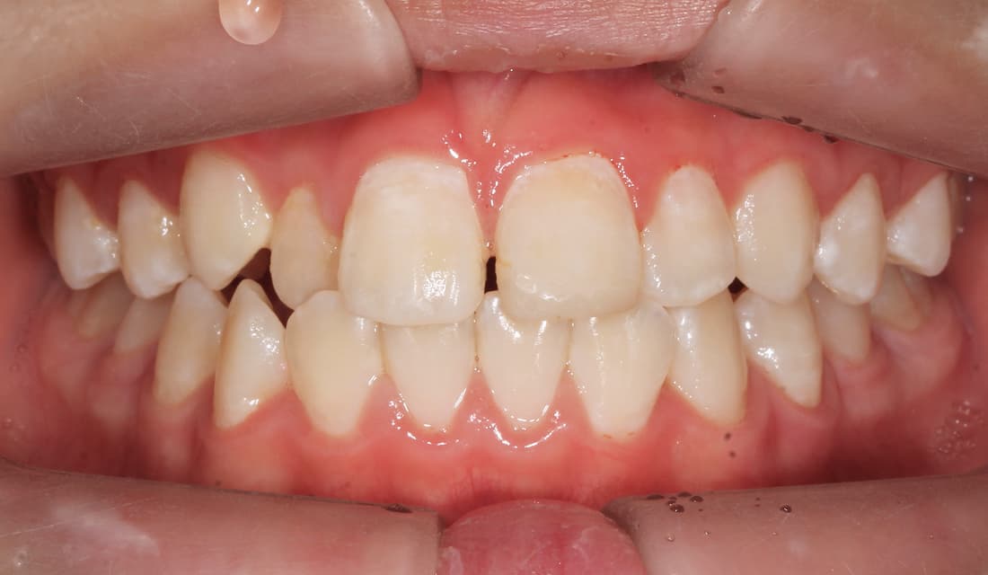
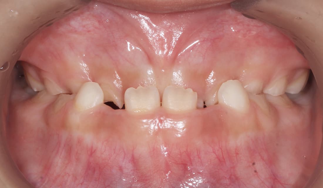
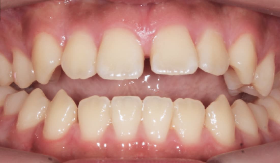
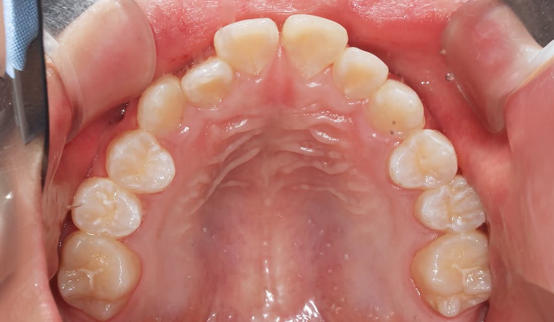
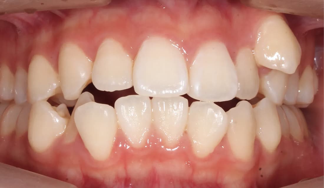
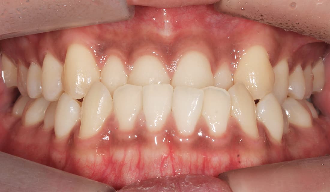
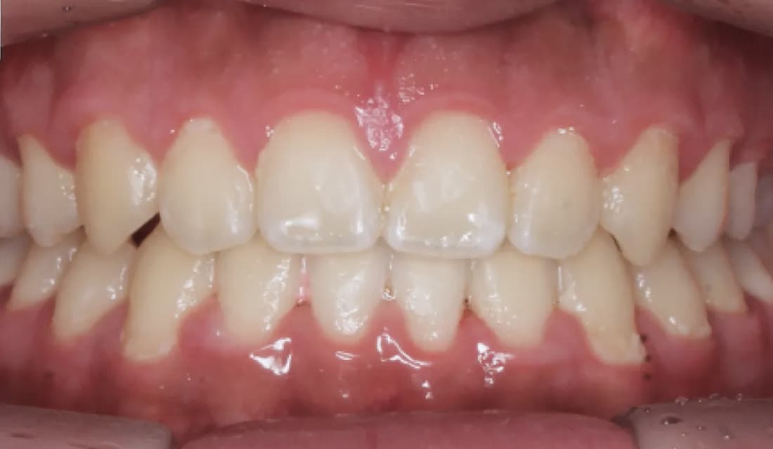
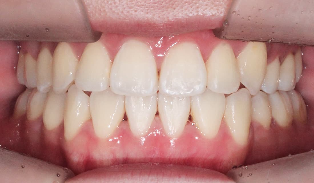
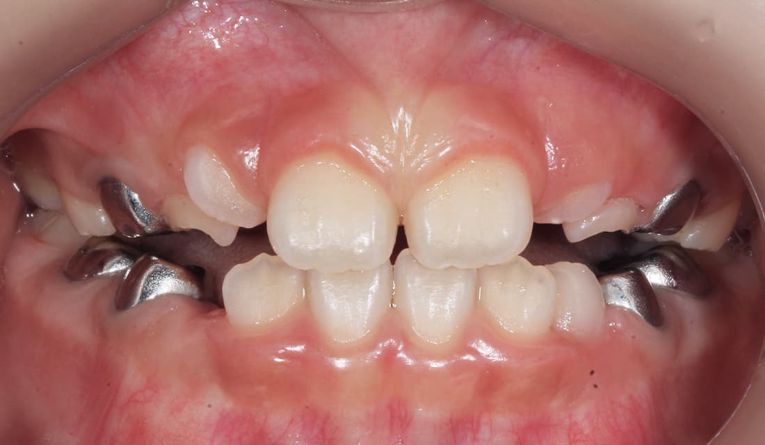
실제 교정 사례
치료 과정을 단계별로 확인하세요.
























나에게 딱 맞는 교정 찾기
인비절라인투명한 플라스틱 소재의 탈부착식 장치
눈에 띄지 않는 심미성, 구강 위생 관리 용이
→경미한~중등도 부정교합, 심미성 중시하는 분
설측 교정장치를 치아 안쪽면에 부착한 심미적인 교정
외부에서 보이지 않음, 다양한 케이스 적용 가능
→심미성을 최우선시하는 분, 대인 업무가 많은 분
클리피씨세라믹과 메탈이 조화된 심미적 자가결찰 브라켓
자연스러운 외관, 치료 기간 단축, 통증 감소
→빠른 치료와 적은 통증을 원하는 분
세라믹 교정치아 색과 유사한 세라믹 브라켓 사용
금속 교정 대비 심미적, 강도가 우수
→금속 장치가 부담스럽지만 합리적 비용을 원하는 분
전치부 급속교정MTA 장치를 이용해 평균 6개월 전후로 빠른 치아 이동
짧은 치료 기간, 앞니 위주 부분 교정
→짧은 기간 내 앞니 부분 교정을 원하시는 분
자주 묻는 질문
교정 유형과 치아 상태에 따라 다르지만, 일반적으로 전체 교정은 1.5~2.5년, 부분 교정은 6개월~1년 정도 소요됩니다. 급속 교정의 경우 더 짧은 기간에 완료할 수 있습니다.
물론입니다. 성인 교정은 매우 보편적이며, 오히려 본인의 의지가 확실하여 더 좋은 결과를 얻는 경우가 많습니다. 인비절라인, 설측교정 등 심미적 옵션도 다양합니다.
교정 장치 장착 초기나 조정 후 2~3일간 약간의 불편감이 있을 수 있으나, 대부분 빠르게 적응합니다. 클리피씨 등 자가결찰 방식은 기존 교정 대비 통증이 적습니다.
인비절라인은 투명한 플라스틱 장치를 사용하여 눈에 띄지 않고, 탈착이 가능해 구강 관리가 용이합니다. 다만 경미한~중등도 부정교합에 적합하며, 복잡한 케이스는 기존 교정이 효과적일 수 있습니다.
네, 교정 완료 후 치아가 원래 위치로 돌아가는 것을 방지하기 위해 유지장치 착용이 필수적입니다. 처음에는 하루 종일, 이후 점차 줄여 취침 시에만 착용합니다.