
자연치아를 살리는 라미네이트
최소 삭제, 맞춤 제작, 사후관리까지 책임집니다.
자신감 있는 미소, 라미네이트로 완성
치아 표면에 얇은 세라믹을 부착하여 색상, 형태, 배열을 한 번에 개선합니다. 최소 삭제 원칙으로 자연치아를 최대한 보존하면서 아름다운 스마일 라인을 완성합니다.
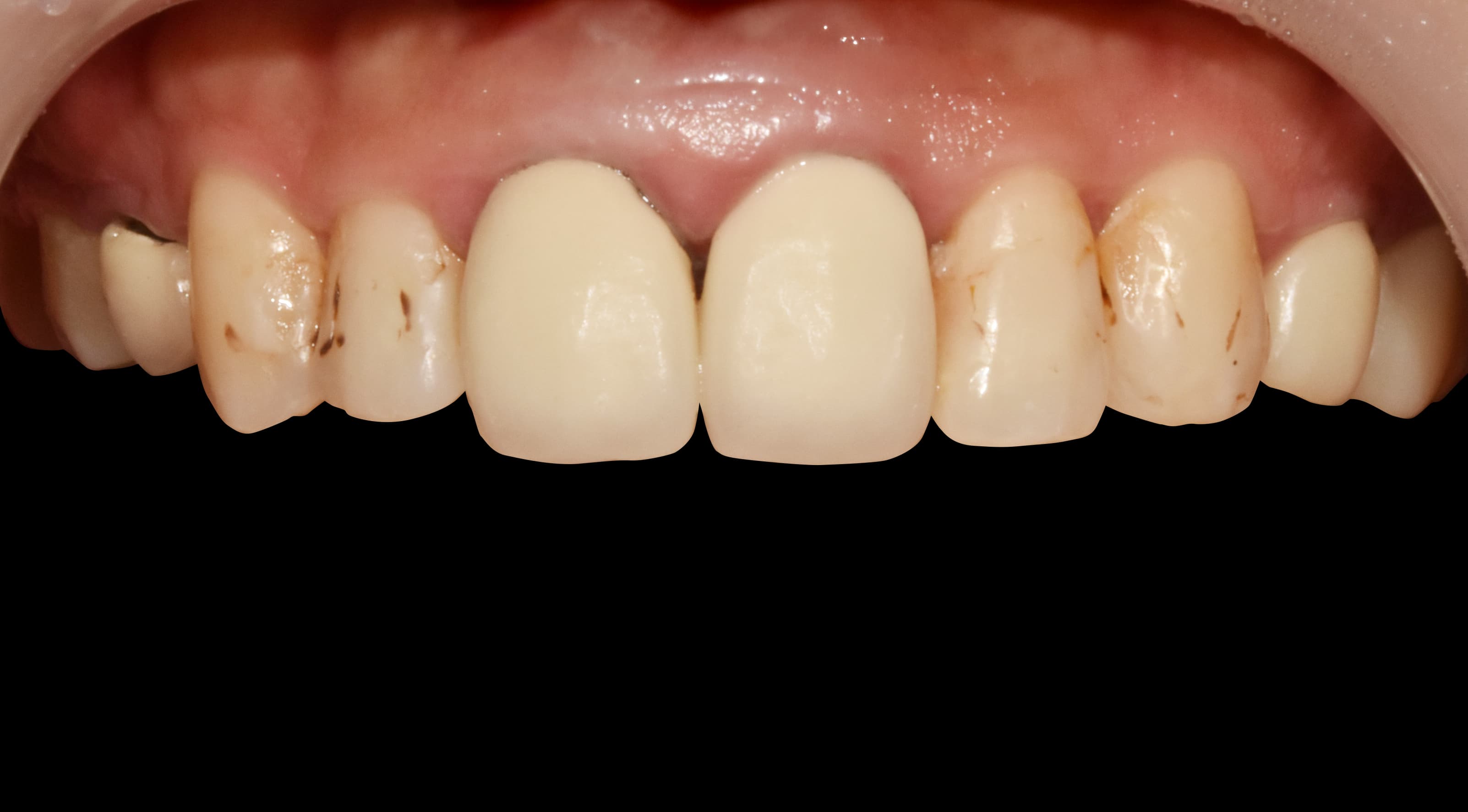
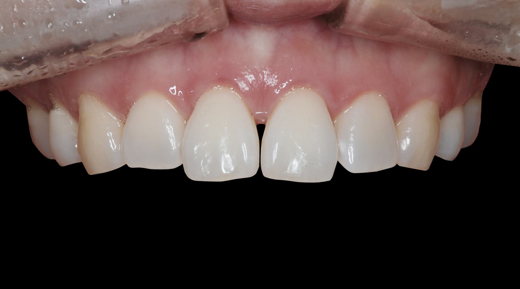
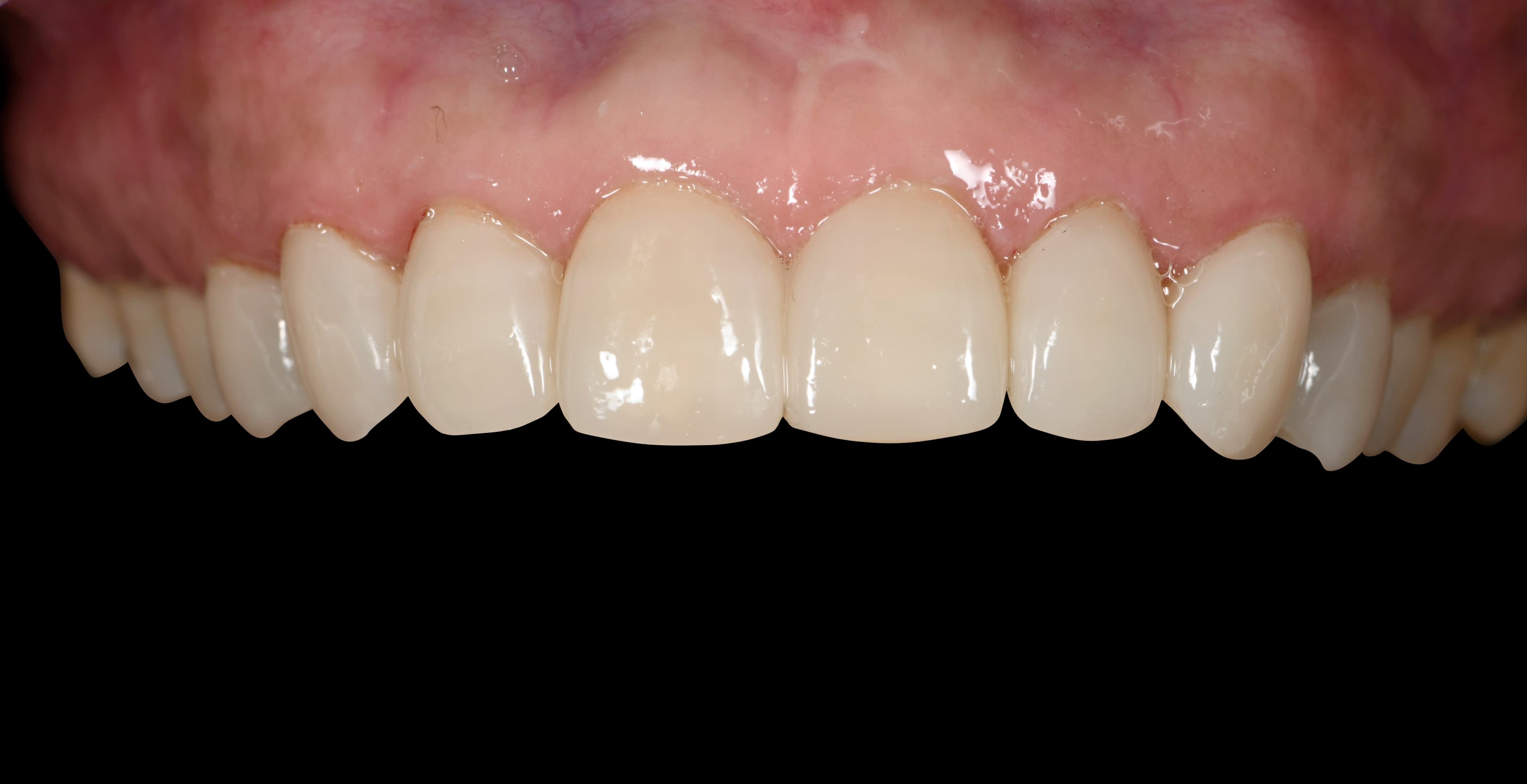
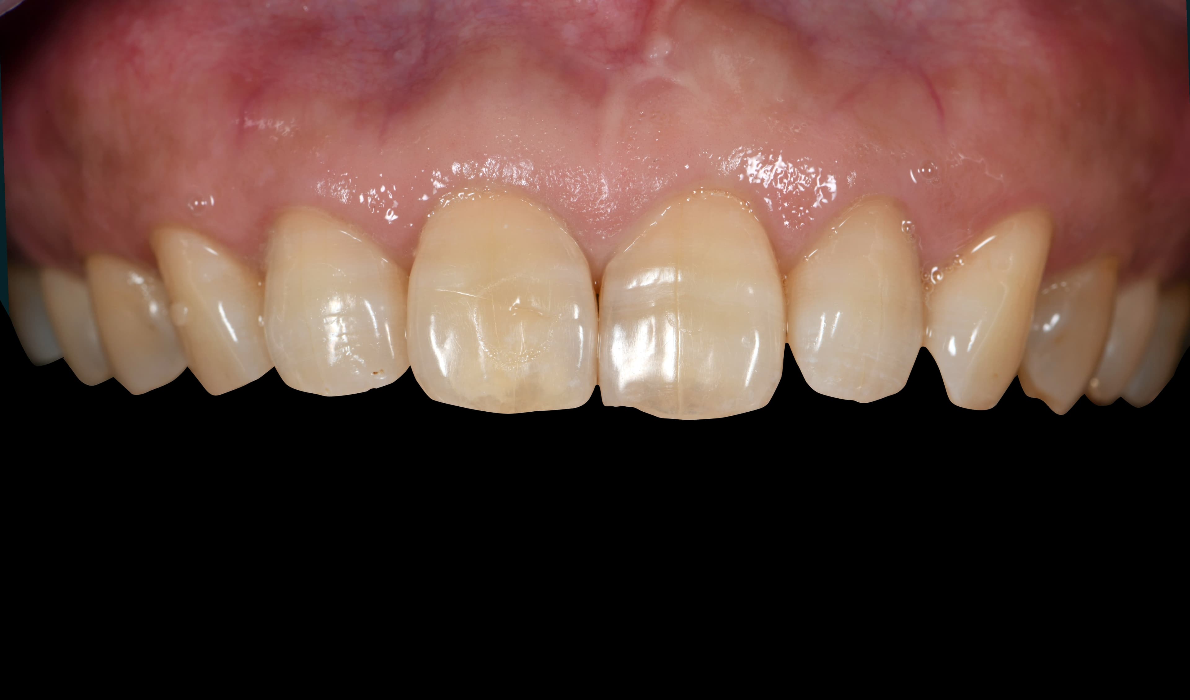
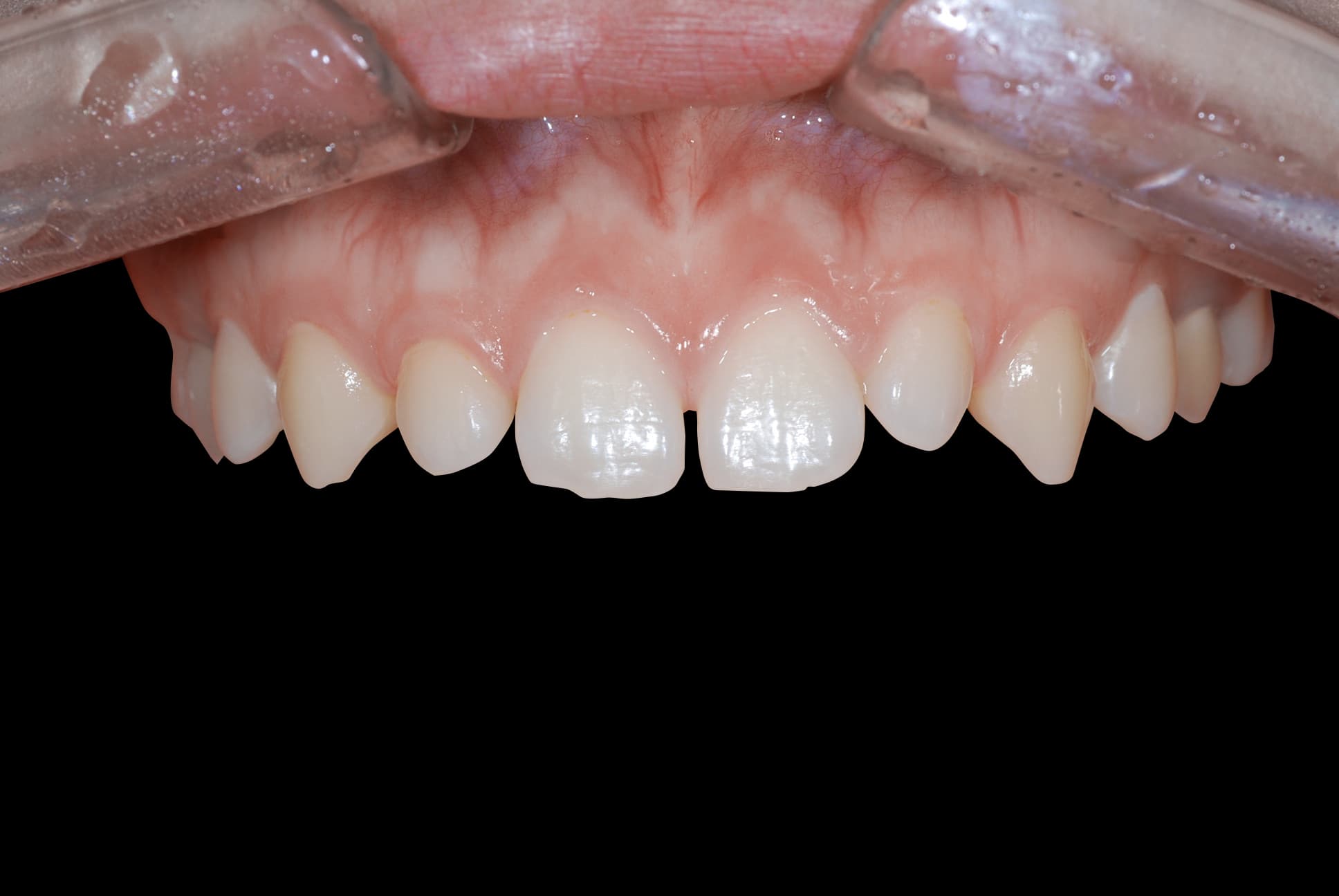
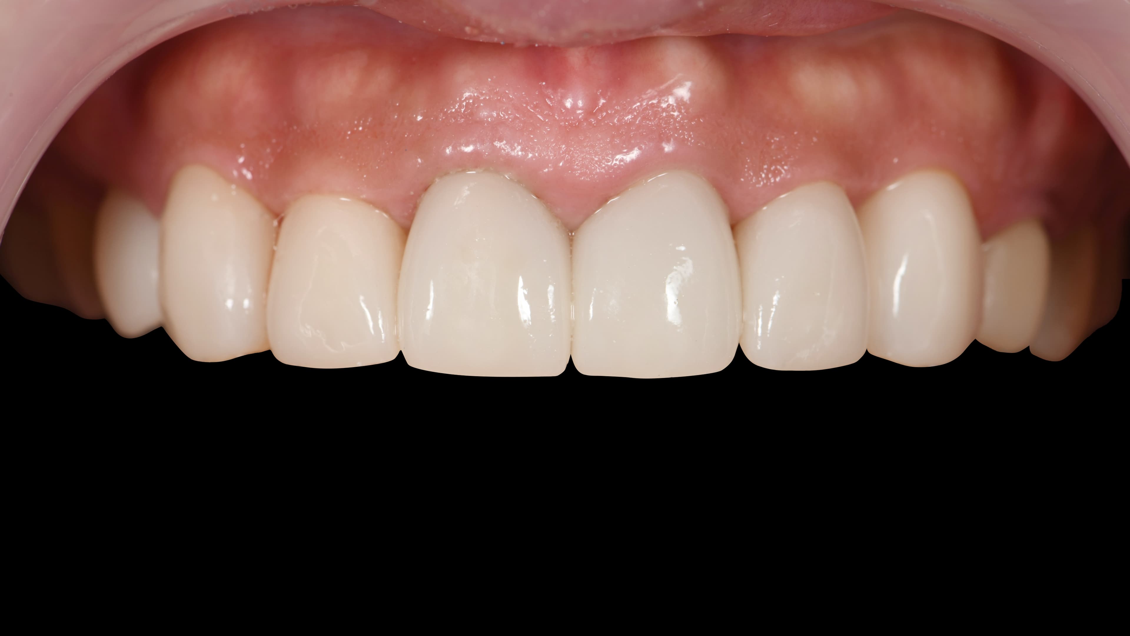
실제 치료 사례
직접 비교해보세요.









라미네이트, 어떻게 다를까요?
최신식 디지털 장비 및 프로그램 사용
최신 3D 구강스캔 데이터와 전문의의 정확한 안면 분석을 통하여 환자분에게 최적화된 디자인을 미리 설계합니다.
치아 건강을 위한 최소 삭제 원칙
불필요한 치아 삭제를 지양하고 0.3~0.5mm 최소 삭제로 자연치아를 최대한 보존합니다.
전담 기공사와의 다이렉트 소통으로 정밀 제작
원내 기공소를 보유하고 있는 치과들로 구성되어 있습니다. 전담 기공사와 직접 소통하여 색상, 형태, 투명도를 환자분의 상태에 최적합으로 구성합니다.
자연스러운 심미성
주변 치아와의 조화를 고려한 자연스러운 색상과 형태로 제작합니다.
빠른 치료 기간
최소 2~3회 내원으로 빠르게 완성되는 효율적인 치료 과정입니다.
장기 보증 프로그램
라미네이트 시술 후 정기 관리와 함께 장기 보증 프로그램을 운영합니다.
자주 묻는 질문
저희 네트워크 치과에서는 최소 삭제 원칙을 지킵니다. 0.3~0.5mm 정도만 삭제하여 자연치아를 최대한 보존하면서 시술합니다.
관리 상태에 따라 다르지만 평균 10~15년 이상 사용 가능합니다. 정기적인 검진과 올바른 구강 관리가 수명을 연장하는 핵심입니다.
일반적으로 2~3회 내원으로 완성됩니다. 첫 내원 시 상담 및 치아 삭제, 두 번째 내원 시 최종 부착이 이루어지며 약 1~2주 소요됩니다.
최신 세라믹 소재는 자연치아와 거의 구분이 불가능할 정도로 자연스럽습니다. 전담 기공사와의 긴밀한 소통을 통해 색상, 형태, 투명도를 개인에 맞게 제작합니다.
일상적인 식사에는 문제가 없으나, 딱딱한 음식(얼음, 사탕 등)을 앞니로 깨무는 습관은 피하시는 것이 좋습니다. 시술 직후 주의사항은 별도로 안내드립니다.